A common parasite you can clear fast.

Trichomoniasis

Find the
best test for
Trichomoniasis

RECOMMENDED ARTICLES

Written by Mitch Smith, MSBME, Chekd Health. Reviewed by Chekd Health Science Team. Published December 1, 2025.  Last updated on December 2, 2025.

Trichomoniasis (often just called “trich”) is a sexually transmitted infection caused by a parasite called Trichomonas vaginalis. It’s one of the most common curable STIs, yet many people have never heard of it.

Trich spreads through vaginal, oral, or anal sex — and most people don’t have any symptoms. When symptoms do appear, they can include unusual discharge, itching, and discomfort during urination or sex.

Trich affects people of all genders, but it’s more commonly diagnosed in people with vaginas. It’s easily treatable with antibiotics, but if left untreated, it can cause complications like inflammation, increased HIV risk, or complications in pregnancy.

Key takeaways

  • Common and often silent. Trichomoniasis is a very common, curable STI, and many people have no symptoms but can still transmit it.

  • Anyone can get it. It spreads through sexual contact and affects all genders, though people with penises are especially likely to be asymptomatic.

  • Symptoms are inconsistent. When present, symptoms can include discharge, irritation, burning with urination, or pain with sex—but they’re easy to confuse with other infections.

  • Testing is required. You cannot diagnose trichomoniasis by symptoms alone; lab testing is the only reliable way to know.

  • Treatment is straightforward but partners matter. Antibiotics cure it, but all partners must be treated to prevent reinfection.

SYMPTOMS

What are the symptoms of trichomoniasis?

Trichomoniasis often flies under the radar. Most people who have it don’t experience any obvious symptoms — or they confuse them with something else, like a yeast infection, UTI, or irritation. When symptoms do show up, they can vary depending on your body and where the infection occurs.

Symptoms in people with female biology

Trich can lead to a noticeable change in vaginal discharge. Some describe it as frothy, yellow-green, or having a strong, fishy odor. There might be itching, burning during urination, or discomfort during sex. The vulva or vagina might appear red or swollen.

Symptoms in people with male biology

People with penises often have no symptoms at all. But when they do, it might include a slight discharge from the penis, a burning sensation after peeing or ejaculation, or itching inside the penis. These symptoms are easy to miss — or dismiss.

Symptoms in anyone

Anyone can have trichomoniasis in the urethra or rectum, though these cases often go unnoticed. Oral infections are rare and usually asymptomatic.

How long can you have trichomoniasis without knowing?

It’s also possible to carry trich for months or even years without realizing it. That’s why testing matters — especially if you’ve had a new partner or multiple partners. There’s no way to visually confirm if someone has trich. It’s invisible from the outside. The only way to know for sure is to get tested. The only way to know for sure is to get tested.

Common Questions about Symptoms

Absolutely, and it is actually the most common scenario! About 70% of people with trichomoniasis have zero symptoms. Your body might be carrying the parasite without giving you any warning signs. That is why testing is such a power move—it’s the only way to know for sure so you can protect your partner and enjoy sex with total peace of mind.

It is tricky because they feel so similar—both can cause itching and irritation. The key clue is often the discharge: Yeast infections usually produce a thick, white (cottage cheese-like) discharge, while Trich often causes frothy, yellow-green, or “fishy” smelling discharge. But honestly? Don’t stress about playing detective. A simple test sorts it out instantly so you can get the right medicine and get back to feeling like yourself.

We wish it were that simple! Trich is a bit of a trickster—symptoms can flare up and then disappear for weeks, but the infection is still active in your body. It will not clear up without antibiotics. Don’t let a “good week” fool you into skipping the test; treating it now prevents complications later.

Yes, it definitely can be. Because trich lives in the urethra (the tube you pee from), it often makes urination feel stinging or “burn-y.” It is very easy to mistake this for a UTI (Urinary Tract Infection). If you’ve treated a UTI but the burning hasn’t stopped, it is definitely time to check for Trich.

Not usually. Trichomoniasis is invisible to the naked eye. Most partners (especially those with penises) have no visible signs at all, even if they are contagious. Passing it back and forth doesn’t mean anyone was “dirty” or careless—it’s just how this microscopic parasite works. Testing together is a great, proactive way to hit reset on your sexual health.

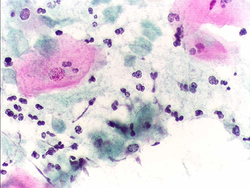
PICTURES

What does trichomoniasis look like?

Trich usually doesn’t cause visible sores or lesions — but it can cause changes in discharge, irritation, and redness.

People with vaginas may notice:

  • Yellow-green or frothy discharge
  • A strong, sometimes “fishy” odor
  • Swollen or red vulvar tissue

People with penises may have little to no visible signs. Some may have a thin discharge or redness at the urethra.

If you notice any changes in discharge, odor, or genital irritation, it’s worth getting tested — even if symptoms come and go.

Show Graphic Images
PREVALENCE

How common is trichomoniasis?

Very. According to the CDC, about 2 million people in the U.S. have trichomoniasis, and many more go undiagnosed. It’s most common in people aged 14–49 and disproportionately affects Black women.

TRANSMISSION

How do I avoid catching trichomoniasis?

Trichomoniasis is passed during sex through the exchange of genital fluids. It mostly affects the genitals, but it can also infect the urethra and — rarely — the rectum or mouth.

You can get trich from:

  • Vaginal sex (most common route)
  • Genital-to-genital contact
  • Sharing sex toys without cleaning or using a new condom

Can trich be spread without penetration?

Yes. Skin-to-skin genital contact can be enough, even without penetration or ejaculation.

Is trich spread through toilet seats or towels?

No. Trichomoniasis can’t survive on surfaces like toilet seats, hot tubs, or shared towels.

How to prevent trichomoniasis:

  • Use condoms or dental dams during all types of sex
  • Get tested regularly
  • Make sure your partner gets treated if you test positive
  • Don’t share sex toys unless they’re cleaned or covered with a fresh condom
DIAGNOSIS & TESTING

How do you test for trichomoniasis?

Testing for trichomoniasis is easy and available in most STI panels — but not all providers include it unless you ask.

How is trich diagnosed?

  • Vaginal swab or urine sample (for people with vaginas)
  • Urine test (for people with penises)
  • Lab-based NAAT (nucleic acid amplification test) is the most accurate

Who should get tested?

  • People with symptoms (discharge, odor, irritation)
  • Anyone with new or multiple partners
  • Those whose partner tested positive
  • People living with HIV or who are pregnant (trich increases risk of complications)

Are home tests for trichomoniasis available?

Yes. Some STI home test kits include trich — usually through vaginal swabs or urine samples. These are sent to a lab and results are provided confidentially.

To Get Accurate Results

Choose Your Method

Most
Private

Sample yourself.
Mailed to your door..

Fastest
Results

Visit a phlebotomist
at a local lab.

What about testing at your doctor?  Learn more here.

TREATMENT

How do you cure trichomoniasis?

Trichomoniasis is curable with antibiotics. The most common treatments are:

  • A single dose of metronidazole (Flagyl) or tinidazole
  • In some cases, a 7-day course may be recommended

Avoid alcohol for at least 24–72 hours after treatment, depending on the medication — it can cause severe nausea when mixed with these antibiotics.

When is it safe to have sex again?

Wait 7 days after treatment and until your partner has been treated. Otherwise, you risk passing the infection back and forth.

COMPLICATIONS

What if trichomoniasis is left untreated?

If untreated, trich can lead to complications like:

  • Vaginal or urethral inflammation
  • Increased risk of contracting or transmitting HIV
  • Pregnancy complications: preterm birth or low birth weight
  • Prostate or epididymis infections (rare in men)

Even though trich is curable, not treating it increases your health risks — and your partner’s.

TELLING A PARTNER

How do I tell someone I have trichomoniasis?

You don’t need a perfect script — just a calm, clear approach. Honesty is the first step toward protecting each other.

Try saying:

“I tested positive for trichomoniasis. It’s really common and easy to treat with antibiotics. You should get tested too so we don’t pass it back and forth.”

Reassure them:

  • It’s curable — usually with one dose
  • It often has no symptoms — so they may not know they have it
  • You’re not blaming them — you’re protecting both of your health

It’s a short, honest conversation — and it can prevent a long cycle of reinfection.

SCIENCE & STUDIES

What's the latest research on trichomoniasis?

If you only read 10 scientific articles on trichomoniaisis, start here.

Dr. Patricia Kissinger is an infectious disease epidemiologist at Tulane University, focusing on the transmission dynamics of STIs. Dr. Christina Muzny is the Medical Director of the UAB Vaginitis Clinic and an NIH-funded researcher specializing in failed treatments for Trichomoniasis.

View Dr. Kissinger’s Profile
View Dr. Muzny’s Profile

More about the primary authors →
KEY TAKEAWAY

For decades, the standard treatment for trichomoniasis was a single, convenient mega-dose of metronidazole. However, this pivotal randomized trial challenged that convention by comparing the single dose against a 7-day regimen in women. The results were undeniable: the single dose failed nearly twice as often as the multi-day course. As a direct result of this study, the CDC updated its official Sexually Transmitted Infections Treatment Guidelines, now recommending the 7-day course as the preferred treatment for women to prevent treatment failure and reinfection.

Read more →

Dr. Patricia Kissinger is an infectious disease epidemiologist at Tulane University, focusing on the transmission dynamics of STIs. Dr. Christina Muzny is the Medical Director of the UAB Vaginitis Clinic and an NIH-funded researcher specializing in failed treatments for Trichomoniasis.

View Dr. Kissinger’s Profile
View Dr. Muzny’s Profile

More about the primary authors →
KEY TAKEAWAY

For decades, the standard treatment for trichomoniasis was a single, convenient mega-dose of metronidazole. However, this pivotal randomized trial challenged that convention by comparing the single dose against a 7-day regimen in women. The results were undeniable: the single dose failed nearly twice as often as the multi-day course. As a direct result of this study, the CDC updated its official Sexually Transmitted Infections Treatment Guidelines, now recommending the 7-day course as the preferred treatment for women to prevent treatment failure and reinfection.

Read more →

Dr. Patricia Kissinger is an infectious disease epidemiologist at Tulane University, focusing on the transmission dynamics of STIs. Dr. Christina Muzny is the Medical Director of the UAB Vaginitis Clinic and an NIH-funded researcher specializing in failed treatments for Trichomoniasis.

View Dr. Kissinger’s Profile
View Dr. Muzny’s Profile

More about the primary authors →
KEY TAKEAWAY

For decades, the standard treatment for trichomoniasis was a single, convenient mega-dose of metronidazole. However, this pivotal randomized trial challenged that convention by comparing the single dose against a 7-day regimen in women. The results were undeniable: the single dose failed nearly twice as often as the multi-day course. As a direct result of this study, the CDC updated its official Sexually Transmitted Infections Treatment Guidelines, now recommending the 7-day course as the preferred treatment for women to prevent treatment failure and reinfection.

Read more →

Dr. Patricia Kissinger is an infectious disease epidemiologist at Tulane University, focusing on the transmission dynamics of STIs. Dr. Christina Muzny is the Medical Director of the UAB Vaginitis Clinic and an NIH-funded researcher specializing in failed treatments for Trichomoniasis.

View Dr. Kissinger’s Profile
View Dr. Muzny’s Profile

More about the primary authors →
KEY TAKEAWAY

For decades, the standard treatment for trichomoniasis was a single, convenient mega-dose of metronidazole. However, this pivotal randomized trial challenged that convention by comparing the single dose against a 7-day regimen in women. The results were undeniable: the single dose failed nearly twice as often as the multi-day course. As a direct result of this study, the CDC updated its official Sexually Transmitted Infections Treatment Guidelines, now recommending the 7-day course as the preferred treatment for women to prevent treatment failure and reinfection.

Read more →

If you only read 10 scientific articles on trichomoniaisis, start here.